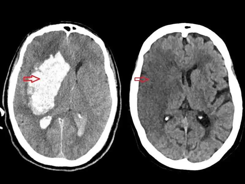
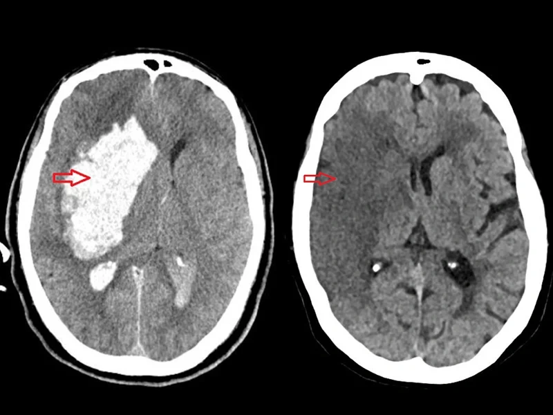
AVC mata um brasileiro a cada seis minutos, apontam registros oficiais
Entre janeiro e outubro, mais de 64 mil pessoas morreram em decorrência da doençaO Acidente Vascular Cerebral (AVC) mata um brasileiro a cada 6 minutos. A informação é baseada em estimativas do Portal da Transparência dos Cartórios de Registro Civil.
Entre os meses de janeiro e outubro deste ano,
64.471 pessoas morreram em decorrência de AVC, o que equivale a um óbito a cada seis minutos. No ano de 2024, foram 85.457 mortes causadas pelo AVC, número que mantém o Brasil entre os países com maior carga da doença.
Hoje, dia 29 de outubro, Dia Mundial do AVC, é importante destacar que, segundo especialistas, oito em cada dez casos poderiam ser evitados com controle da pressão arterial, prática regular de exercícios e abandono do uso de cigarro.
De acordo com o Ministério da Saúde e a Sociedade Brasileira de AVC (SBAVC), entre os principais fatores de risco estão:
- hipertensão;
- diabetes;
- obesidade;
- tabagismo;
- sedentarismo;
- colesterol alto.
Em casos de suspeita de AVC, o teste “SAMU” é essencial para identificar o risco:
- Sorriso: peça para a pessoa sorrir; se um lado do rosto não mexer, é alerta.
- Abraço: veja se ela consegue levantar os dois braços.
- Música: peça para repetir uma frase simples.
- Urgente: ligue para o 192.
Fonte: Reprodução | g1 | Agência Brasil
