
Nome da condição tem origem em ave conhecida por ingerir objetos variados
Mudanças persistentes no hábito intestinal, sangue nas fezes e perda de peso sem causa aparente devem ser investigadas
Medidas atingem Mounjaro, Enhertu, Botox e o chamado chip da beleza por risco à saúde e irregularidades sanitárias
Missão liderada por Alexandre Padilha amplia cooperação em inovação, produção local e inteligência artificial
Procon apura possível violação ao direito à saúde e dá 15 dias para defesa da operadora
Com R$ 100 milhões, Hospital Cardoso Fontes reabre leitos e acelera atendimentos
Agência decretou a proibição da comercialização de produtos de seis empresas
Padilha visita fábrica na Bahia e anuncia mais ambulâncias, mais alcance e menos desculpas para atrasos
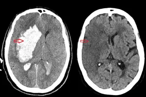
Sintomas persistentes podem indicar câncer precoce; especialistas pedem atenção antes que seja tarde
Casos na Índia estão sob controle e OMS avalia chance de pandemia como baixa
Regras definem critérios de produção, pesquisa e controle com foco exclusivo na saúde
Acauã concentra 29 diagnósticos de Ataxia de Friedreich e motivou fluxo especial no HU-UFPI
Vacina inédita de dose única, desenvolvida pelo Butantan, integra estratégia nacional de prevenção
Projeto de estudantes usa tecnologia acessível para apoiar triagens e ganha destaque internacional
Período de viagens e lazer pede cuidados extras com imunização, hidratação, alimentação e prevenção de acidentes
Unacon do HGV oferece tratamento gratuito pelo SUS para diversos tipos de câncer desde maio de 2025
Lecanemabe é autorizado para uso no Brasil e traz esperança para pacientes em estágio inicial da doença
O decreto foi publicado nesta terça feira (06)
Pesquisa inédita com polilaminina marca avanço científico, reforça o SUS e renova a esperança de pacientes
Doença causada por fungo tem alta incidência no Brasil, afeta principalmente felinos e pode ser transmitida às pessoas